নির্বাচিত পোস্ট | লগইন | রেজিস্ট্রেশন করুন | রিফ্রেস

কলাবাগান১

বিজ্ঞান নিয়ে পড়ালেখা দেশপ্রেমের ই অংশ

কলাবাগান১ › বিস্তারিত পোস্টঃ

ব্লগে গুজব প্রচারকারী

০২ রা সেপ্টেম্বর, ২০১৮ রাত ১০:৫৪


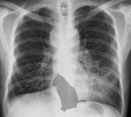
ঢাকা বিশ্ববিদ্যালয়ের পড়ুয়া দাবী করা এক ব্লগার দিনের পর দিন ব্লগে উদ্দেশ্য মূলক ভাবে গুজব ছড়িয়ে যাচ্ছে....কিছুক্ষন আগে বিখ্যাত অভিনেত্রী মেরিলিন মনরো এর চেস্ট এক্সরে মাঝে তেলাপোকার ছবি ফোটোশপ করা ছবি কে বাংলাদেশের হাসপাতাল এর এক্সরে মেশিনের ছবি বলে চালিয়ে এই সরকার এর বিরূদ্বে সবাই রুখে দাড়ানোর আহবান জানান। সেই পোস্টে ও পটাপট ৩টা লাইক...ফ্রম সেলিব্রেটি ব্লগারস..

এই ঢাকা বিশ্ববিদ্যালয়ের পড়ুয়া দাবী করা এক ব্লগার কোটা আন্দোলন থেকে আরম্ভ করে হালের ছাত্র/ছাত্রীদের পরিবহন আন্দোলন সহ অন্যান্য আন্দোলনের সময়ও প্রতিদিন নানা গুজব (রগ কাটা, চোখ তোলা, মিছিলে ট্রাক উঠিয়ে ৪ জনকে হত্যা, ছাত্রীকে ধর্ষন) নিয়ে সবাই কে রাস্তায় নামার আহবান জানান ....
অথচ পাকিদের কি ১৯৭১ এর গনহত্যার জন্য বাংলাদেশের কাছে ক্ষমা চাওয়া উচিত কিনা সেই প্রশ্নের উত্তর দিতে অপারগ বলে ইমরানের বন্দনা নিয়ে পোস্ট দিলেন। ইমরান কে নিয়ে পোস্ট ইজ ওকে কিন্তু ক্ষমার প্রশ্নে কেন পিছলানো।

রাজাকার রা সারা জীবন গুজব প্রচার করেই ফায়দা অর্জন করতে চায়...তাই চাদে সাঈদীকে দেখে...রগ না কাটলে, চোখ না তুললে ও রাজাকারের দল এই সমস্ত গুজবের উপর ই পড়ে আছে আর এই ব্লগে ও এসব এর কমতি নাই...

ভারত থেকে নস্ট ইভিএম আনার জন্য নাকি সরকার ইভিএম এ ভোট চাচ্ছে!!!!!! এই সমস্ত আন্দাজ কে ফ্যাক্ট হিসাবে এস্টাবলিশ করা যাবে স্বল্প শিক্ষিত লোকজনদের কাছে...আজকাল কার ছেলে মেয়েরা এভিডেন্স ছাড়া কিছু বিশ্বাস করে না..

তেলাপোকার ফোটোশপ করা পোস্ট দেখি গায়েব...আসল খবর এখানে
Rajakar's attempt to malign govt hospital x-ray machine is quashed


মন্তব্য ৬২ টি রেটিং +৫/-০

মন্তব্য (৬২) মন্তব্য লিখুন

১| ০২ রা সেপ্টেম্বর, ২০১৮ রাত ১১:০৮

ইনাম আহমদ বলেছেন: আপনি জনৈক ঢাবিয়ানের ব্যপারে পোস্ট দিয়েছেন বলে মনে হচ্ছে।
উনি বর্তমানে শিবিরের চামচা একজন সাংবাদিকের মুক্তির পক্ষে ট্রাম্পের জবানবন্দি নিয়ে প্রচারণা চালাচ্ছেন। ব্লগের সম্মানিত মডারেটরের এই ব্যপারে পদক্ষেপ আশা করছি।

০৩ রা সেপ্টেম্বর, ২০১৮ রাত ২:০৫

কলাবাগান১ বলেছেন: তার পোস্ট মানেই গুজব...মডুদের আরো সাবধান হওয়া উচিত

২| ০২ রা সেপ্টেম্বর, ২০১৮ রাত ১১:১৫

পাঠকের প্রতিক্রিয়া ! বলেছেন: ঐ লোকটার কিছু সমস্যা আছে। সব কিছুতেই উনার একটু বাড়াবাড়ি। কেনরে বাবা, গঠনমূলক সমালোচনা করা যায় না??X( ঢাবিতে পড়লেই ঢাবিয়ান নিক নিতে হবে!
হাস্যকর!


এক্সরেতে তেলাপোকা ধরা পড়ে, এটাও সম্ভব। :D
পুনশ্চঃ
মগের মুল্লকে অনেক কিছুই সম্ভব।

০৩ রা সেপ্টেম্বর, ২০১৮ রাত ২:১০

কলাবাগান১ বলেছেন: ঢাকা বিশ্ববিদ্যালয়ে পড়া লোক সামান্য কবিতার ছন্দ নিয়ে কথাও বুঝেন না..একপোস্টে উনি মাথা চুলকায়ে অস্হির কবিতার ছন্দ/মিল কে কেন কক খখ হিসাবে বলা হয়েছে ..

আমার রাগ টা এখানেই "এক্সরেতে তেলাপোকা ধরা পড়ে, এটাও সম্ভব। " ব্লগের সেলিব্রেটি ব্লগার রা আবার এই গুজব পোস্টে প্লাস ও দিলেন তিন জন মিলে উইধিন ১০ মিনিটস

৩| ০২ রা সেপ্টেম্বর, ২০১৮ রাত ১১:১৯

পাঠকের প্রতিক্রিয়া ! বলেছেন: উনাকে একদিন প্রশ্ন করেছিলাম, উনি ঢাবির ছাত্র কি না?
প্রতিউত্তর করেন নি।


আপনারা আবার ভিআইপি লোক(ঢাবিয়ান সহ) ডলা না দিলে মন্তব্যের প্রতিউত্তর করেন না। তাই মন্তব্যটা করলুম!

০২ রা সেপ্টেম্বর, ২০১৮ রাত ১১:২৩

কলাবাগান১ বলেছেন: একটু ব্যস্ত এখন

৪| ০২ রা সেপ্টেম্বর, ২০১৮ রাত ১১:২৫

অচেনা হৃদি বলেছেন: এই ঢাবিয়ানের কোন কাজ নেই, ব্লগে ক্রমাগত বিভ্রান্তি সৃষ্টি করাই তার একমাত্র কাজ। সামু কর্তৃপক্ষের উচিৎ এই ফ্রড লোকটিকে সোজা ব্লক করে দেয়া।

০৩ রা সেপ্টেম্বর, ২০১৮ রাত ২:১৩

কলাবাগান১ বলেছেন: উনার আসল উদ্দেশ্য হল যদি কোনভাবে স্বাধীনতা বিরোধীদের আবার পুর্নবাসিত করা যায়...

ছাত্র/ছাত্রীদের পরিবহন আন্দোলনের সময় গুজবের পাশাপাশি চেস্টা চালিয়েছিলেন সেনাবাহিনীকে উসকে দেওয়ার

৫| ০২ রা সেপ্টেম্বর, ২০১৮ রাত ১১:২৭

সূচরিতা সেন বলেছেন: আচ্ছা এ কেমন কথা মিছে একটা বিষয়কে রটানো । এ আবার কেমন ব্লগীং ?

০৩ রা সেপ্টেম্বর, ২০১৮ রাত ২:১৪

কলাবাগান১ বলেছেন: এটা ব্লগিং না..এটা হল ঘোলা মাঠে মাছ ধরার প্রয়াস

৬| ০২ রা সেপ্টেম্বর, ২০১৮ রাত ১১:৩১

নাঈম জাহাঙ্গীর নয়ন বলেছেন: ওরা মিথ্যাচার ছড়িয়ে দ্বিতীয় মুক্তিযুদ্ধ করবার ডাক দেয়, আহারে দেশ দরদি চামচিকা তোদের মুখে পাবলিক থুতু ছিটালো কতভাবে তবুও তোরা মানুষ হতে পারলি না, না পারলি বাংলাদেশী হতে, বাঙালি তো হতে পারবিইনা কোনদিন। ঢাবি হোক আর অক্সফোর্ড হোক দেশ জাতির বিরুদ্ধাচরণ করা মিথ্যা বেশাতি করলে তার জ্ঞানের ভিতর রাস্তার পঙ্গু কুত্তাও প্রশ্রাব করবেনা, অথচ ছাগলের দল মিথ্যাচার করে মুক্তিযুদ্ধের ডাক দেয়!!

লজ্জা তাদের নেই ভাই, তাদের রক্তের মধ্যে সমস্যা যারা দেশ জাতি জনগণ নিয়ে মিথ্যাচার করে।

দুঃখিত ভাই, আমার মন্তব্য মনে হয় পোষ্টে অপ্রাসঙ্গিক হয়ে গেল। কি করবো ভাই, যারা এখনও বলে বেড়ায় দেশ বিক্রি হয়ে যাচ্ছে ভারতের কাছে, তাদের মুখে দেশের কল্যাণকর কথা শুনলে রক্তের মধ্যে কেমন যেন জ্বালা পোড়া শুরু হয়ে যায়। আপনার ঘৃণার সাথে আমার ঘৃণা টুকুও প্রকাশ করার সুযোগ পেলাম বলেই বলে গেলাম।

০৩ রা সেপ্টেম্বর, ২০১৮ রাত ২:১৫

কলাবাগান১ বলেছেন: "লজ্জা তাদের নেই ভাই, তাদের রক্তের মধ্যে সমস্যা যারা দেশ জাতি জনগণ নিয়ে মিথ্যাচার করে। "
এই মিথ্যাচারের উপর ই এদের বসবাস

৭| ০২ রা সেপ্টেম্বর, ২০১৮ রাত ১১:৩৩

পাঠকের প্রতিক্রিয়া ! বলেছেন: @অপ্‌সরা বলেছেন: .... মগের মুলুক বলো না ভাইয়া তাইলে কিন্তু কলাবাগানভাইয়া তোমাকেও গুজব সৃষ্টিকারীর মদদদাতা বলবে!!! সাবধান!!!!!!


যে যাই বলুক। পাঠক ওসবে পাত্তা দেয় না। (বানরের তো কলা পছন্দ ):P
তোমাদের ব্লগে গঠনমূলক রাজনৈতিক সমালোচনা কেউ পারে নাকি! রাজনীতিবিদরা হয় সরকারের চামচামি করবে, নয়তো বিরোধীতা করবে। (মানে কানা বগী, আর গিনিপিগ!!!) :P




@ লেখকবলেছেন: একটু ব্যস্ত এখন
ওকে।
দেরীতে হলেও প্রতিউত্তর করবেন। একটা রাগের ইমো দিয়ে হলেও। ভাব ধরে প্রতিউত্তর না করলে মেজাজ আমার হট হয়ে যায়।

০৩ রা সেপ্টেম্বর, ২০১৮ রাত ২:১৭

কলাবাগান১ বলেছেন: :``>>...:``>>....:``>>

ভাব কিভাবে ধরতে হয় এখনও জানি না

৮| ০২ রা সেপ্টেম্বর, ২০১৮ রাত ১১:৪২

অচেনা হৃদি বলেছেন: হ্যাঁ, এই লোক ঢাবিয়ান!!!!
ঢাকা ইউনিভার্সিটিতে ভর্তি হতে পারা বিরাট এক সৌভাগ্যের ব্যপার। খোঁজ নিলে হয়তো দেখা যাবে এই ঢাবিয়ানের চৌদ্দগোষ্ঠীর মাঝে কেউ বিশ্ববিদ্যালয়ে কখনো ভর্তি হতে পারেনি, হয়তো এই লোকটাই তার গোষ্ঠীর একমাত্র লোক যে বিশ্ববিদ্যালয়ে চান্স পেয়েছিলেন, হয়তো তিনি ইসলামের ইতিহাস বা ইসলামিক স্টাডিজ এর মত 'মহান' কোন বিষয়ে ভর্তি হতে পেরেছিলেন, হয়তো একবছরের মাথায় আবার উল্টা পাল্টা কোন কাজে জড়িয়ে বহিষ্কৃতও হয়েছিলেন, তাতে কি? একবার তো ভর্তি হতে পেরেছিলেন! তাই খুশিতে, সেই গর্বে তিনি নিজের নাম দিতে পারেন- ঢাবিয়ান!
=p~

০৩ রা সেপ্টেম্বর, ২০১৮ রাত ২:১৮

কলাবাগান১ বলেছেন: ঢাবিয়ান বলেই উনি রোকেয়া হলে রগ কাটার গুজব ছড়ানো তে সাকসেসফুল হয়েছিলেন ব্লগে ...অবশ্য রগ কাটার গুজবে সবচেয়ে সফল হলেন কানাডা প্রবাসী ব্লগার

৯| ০২ রা সেপ্টেম্বর, ২০১৮ রাত ১১:৪৯

আশাবাদী অধম বলেছেন: গুজব সর্বদা নিন্দনীয় ও প্রতিবাদযোগ্য। মিথ্যা সেটা মিথ্যাই।

কিন্তু আপনাদের একটা বিষয় খারাপ লাগে। কিছু হলেই রাজাকার ট্যাগ লাগানো। ওই ব্লগার যুবক বয়সীই হবে। তাকে সরকার বিরোধী বা রাষ্ট্রদ্রোহী বলুন। রাজাকার কেন?

আরেকটি বিষয়। বাংলাদেশে গুজব ছড়ানোতে কেউই কম যায়না।

গুজব সর্বদা নিন্দনীয় ও প্রতিবাদযোগ্য। মিথ্যা সেটা মিথ্যাই।

কিন্তু আপনাদের একটা বিষয় খারাপ লাগে। কিছু হলেই রাজাকার ট্যাগ লাগানো। ওই ব্লগার যুবক বয়সীই হবে। তাকে সরকার বিরোধী বা রাষ্ট্রদ্রোহী বলুন। রাজাকার কেন?

আরেকটি বিষয়। বাংলাদেশে গুজব ছড়ানোতে কেউই কম যায়না। কিছু চরিত্র জাতিগত।



তবে এটা মনে করবেন না যে আমি ঢাবিয়ানকে সাপোর্ট করছি। ওর উচিত হবে ক্ষমা চেয়ে পোস্ট দেয়া।

০৩ রা সেপ্টেম্বর, ২০১৮ রাত ২:১৯

কলাবাগান১ বলেছেন: রাজাকার না বলে রাজাকার বান্ধব বলা দরকার....

১০| ০৩ রা সেপ্টেম্বর, ২০১৮ রাত ১২:০২

রাফা বলেছেন: ঢাবিয়ান নিক নিলেই সেখানকার স্টুডেন্ট হয়ে যায়না।খোজ নিলে বেরোবে জামাত স্কুলের ছাত্র।এদের যা কাজ জাহান্নামে গেলেও চলবে।

@শায়মা ,আপু ।তোমার মত ব্লগারের আরও ভেবে চিন্তে মন্তব্য করা উচিত।আমার ধারনা তুমি একজন সমাজ সচেতন মানুষ।

০৩ রা সেপ্টেম্বর, ২০১৮ রাত ২:২৩

কলাবাগান১ বলেছেন: "ঢাবিয়ান নিক নিলেই সেখানকার স্টুডেন্ট হয়ে যায়না।"
ঢাবিতে তো হলি আর্টিসানে এর জংগী ও ছিল বলে মনে হয়

১১| ০৩ রা সেপ্টেম্বর, ২০১৮ রাত ১২:০৪

আশাবাদী অধম বলেছেন: অচেনা হৃদি বলেছেন,
"হয়তো তিনি ইসলামের ইতিহাস বা ইসলামিক স্টাডিজ এর মত 'মহান' কোন বিষয়ে ভর্তি হতে পেরেছিলেন"


একটা বিশ্ববিদ্যালয়ে সাবজেক্ট বৈচিত্র থাকে বলেই ওটার নাম বিশ্ববিদ্যালয়। অনুমানে ঐ ব্লগারকে উপরোক্ত সাবজেক্টের ধারণা করার যুক্তি কি?
তারচেয়েও ভয়ংকর হলো আপনি সাবজেক্ট দুটিকে হেয় করলেন। এই দুটি সাবজেক্টে যারা পড়ে এদের কি আপনার গরু মনে হয়? ঢাবির বর্তমান ভিসি কোন সাবজেক্টের জানা আছে?

ব্লগে এসেছেন তিনমাস। এখনো এটিকেট শিখেননি। সম্ভবত অন্তরে ইসলাম বিদ্বেষও লালন করেন।

০৩ রা সেপ্টেম্বর, ২০১৮ রাত ২:২৪

কলাবাগান১ বলেছেন: কোন মন্তব্য করলাম না

১২| ০৩ রা সেপ্টেম্বর, ২০১৮ রাত ১২:০৫

চাঁদগাজী বলেছেন:


ঢাবিয়ান আসলে পিগমী ব্লগার

০৩ রা সেপ্টেম্বর, ২০১৮ রাত ২:২৬

কলাবাগান১ বলেছেন: আপনি পোস্ট দিলেন ড: কামাল হোসেন আর ডা: বদরজদোজাকে নিয়ে...আর তার কমেন্ট ছিল যে তারা বিনপি সাথে গলা মিলিয়েছেন তা্য নাকি আপনার গাত্রদাহ.....

১৩| ০৩ রা সেপ্টেম্বর, ২০১৮ রাত ১২:২৫

অচেনা হৃদি বলেছেন: আশাবাদী অধম বলেছেন ব্লগে এসেছেন তিনমাস। এখনো এটিকেট শিখেননি। সম্ভবত অন্তরে ইসলাম বিদ্বেষও লালন করেন।

ভাই, আপনিও কি সেই কোরামের লোক? ঢাবিয়ান লোকটি সেই শুরু থেকে আমাকে এটিকেট শিখিয়ে আসছেন। এই ব্লগে উনি একজন বিশিষ্ট ব্যক্তি যিনি আমাকে 'সুন্দর' মন্তব্য দ্বারা ভদ্রতা শিক্ষা দিয়ে থাকেন। আমি আশ্চর্য হলাম, আপনি ঠিক তাঁর ভাষাতেই কথা বলছেন দেখে। নাকি আপনি একই লোক, সেটা লগ আউট করে এটাতে লগইন করলেন?

০৩ রা সেপ্টেম্বর, ২০১৮ রাত ২:২৭

কলাবাগান১ বলেছেন: উনাদের কাছে এটিকেট হল জামাত বিনপিকে সমালোচনা না করে চোখ বুঝে সাপোর্ট

১৪| ০৩ রা সেপ্টেম্বর, ২০১৮ রাত ১২:৩৯

আশাবাদী অধম বলেছেন: ব্লগে আমার বয়স সাড়ে পাঁচ বছর। কোরাম খুঁজে লাভ নেই ।

নিজের ভুল স্বীকার করতে শিখুন।

"হয়তো তিনি ইসলামের ইতিহাস বা ইসলামিক স্টাডিজ এর মত 'মহান' কোন বিষয়ে ভর্তি হতে পেরেছিলেন"

আপনার এই কমেন্ট যে কোন বিবেচনায় আপত্তিকর। অথচ সেটা এড়িয়ে আমাকে কোন এক কোরামে ফেলতে চাইলেন। অন্য দশজন নিরপেক্ষ লোককে জিজ্ঞেস করুন যে আপনার এই কমেন্ট করা ঠিক হয়েছে কিনা।

আপনি ঢাবিয়ানের হাজারটা সমালোচনা করুন। ইসলামিক স্টাডিজ এবং ইসলামের ইতিহাস শাস্ত্রকে কেন হেয় করেন। এমনকি ঢাবিয়ান এই সাবজেক্টের কি না এটাও তো আপনি জানেন না। তার মানে এই ধারণা অমুলক নয় যে ইসলাম নিয়ে আপনার এলার্জি আছে।

যাহোক তর্ক করার ইচ্ছা রাখিনা। আপনার মানসিকতা জানা হলো। ভালো থাকুন।

০৩ রা সেপ্টেম্বর, ২০১৮ রাত ২:২৮

কলাবাগান১ বলেছেন: উনার প্রতিউত্তর দেখুন

১৫| ০৩ রা সেপ্টেম্বর, ২০১৮ রাত ১২:৪৬

ঠাকুরমাহমুদ বলেছেন: আমি তো ভাই এখন দাদাভাই হয়ে গেছি, তারপর ও ব্লগে আসতে ভালো লাগে, যাইহোক আমার কারো সাথে ব্যাক্তিগত দন্দ নেই আমি প্রশ্ন করেছিলাম - এক্সরে তে তো আস্ত তেলাপোকা আসার কথা না, তেলাপোকার অস্থি মজ্জা আসার কথা, যাইহোক আমি ঢাবিয়ান ভাইয়ের ভুল গুলো শোধরাতে তাকে নেটের লিংক দিয়েছি এবং সাথে ছবি দিয়েছি - - -



এক্সরে তে আস্ত বিড়াল আসার কথা না তার অস্থি মজ্জা আসার কথা, একমাত্র আস্ত আসবে কেউ যদি মেটাল খাদ্য হিসেবে ভক্ষণ করেন যেমন আইফেল টাওয়ার !!!


মানুষ ফেসবুক থেকে প্রতারিত হয় আর হয় ফেইক আইডি থেকে !!!

০৩ রা সেপ্টেম্বর, ২০১৮ রাত ২:২৯

কলাবাগান১ বলেছেন: তাই তো আপনার মন্তব্যে তিনটা লাইক...একটা আমার

১৬| ০৩ রা সেপ্টেম্বর, ২০১৮ রাত ১২:৫৮

ঠাকুরমাহমুদ বলেছেন: আশাবাদী অধম ভাই,
নিজেকে জানতে হলে ইতিহাস পড়তে হবে, এখন সে যেই ইতিহাসই হোক, আর ইতিহাস নিয়ে বিরুপ মন্তব্য কোনো ভালো কাজ নয়, এটি নিজেকে নিজে ছোট করার পরিচয় । আমরা প্রতিটি মানুষ ইতিহাসের সাথে কোনো না কোনো ভাবে জড়িত । এখন ইতিহাস অস্বিকার করলে নিজেকে অস্বীকার করা হয় । ব্লগে কারো কারো কাছে ইতিহাস পাতিহাস একই ।
- দুঃখজনক !!

০৩ রা সেপ্টেম্বর, ২০১৮ রাত ২:৩১

কলাবাগান১ বলেছেন: ইতিহাস অস্বিকার করলে নিজেকে অস্বীকার করা হয়

১৭| ০৩ রা সেপ্টেম্বর, ২০১৮ রাত ১:০১

অচেনা হৃদি বলেছেন: @আশাবাদী স্বীকার করছি, এই দুই সাবজেক্ট উল্লেখ করে ভিন্নভাবে উপস্থাপন করা আমার উচিৎ হয়নি। বিশেষ করে ঢাবিয়ানের মত মিথ্যুকের সাথে ইসলাম ধর্মকে যুক্ত করে ফেলাটা একদম অনুচিত।
এই দুই সাবজেক্টের প্রতি আমার কোন প্রিজুডিস নেই। কেন এগুলোর নাম উল্লেখ করেছি তা ব্যাখ্যা করছি।
ভার্সিটির ছাত্ররা সবসময় থাকে পড়ালেখা নিয়ে। বস্তুত, শুধু একাডেমিক পড়ালেখা নয়, এই ছাত্ররা চাকুরির প্রস্তুতিমুলক পড়ালেখা নিয়েও ব্যস্ত থাকেন। এতো পড়ালেখার পর তাঁদের হাতে ব্লগিং করার মত সময় থাকে? কিন্তু এই ঢাবিয়ান সাহেবকে প্রায়ই ব্লগে পড়ে থাকতে দেখা যায়। উনি এতো সময় পান কিভাবে? আমি যতদূর জানি যে দুই সাবজেক্টের নাম উল্লেখ করেছি সেগুলো তুলনামুলক সহজ সাবজেক্ট। এগুলো পড়ার জন্য অন্য সাবজেক্টের স্টুডেন্টদের মত এতো কষ্টসাধ্য পরিশ্রম করতে হয় না। কাজেই, এই সাবজেক্টের ছাত্ররাই পড়ালেখার পাশাপাশি অন্য কাজ (যেমন ব্লগিং) করে সময় ব্যয় করতে পারে। সেই যুক্তিতে তো ঢাবিয়ান সাহেব (যদি ভার্সিটি স্টুডেন্ট হয়ে থাকেন তবে) এই সাবজেক্টগুলোর ছাত্র হতে পারেন। এটা ধারণা মাত্র, সত্য নাও হতে পারে।

০৩ রা সেপ্টেম্বর, ২০১৮ রাত ২:৩০

কলাবাগান১ বলেছেন: চমৎকার ভাবে আপনি ব্যাপারটা ট্যাকেল করেছেন...

১৮| ০৩ রা সেপ্টেম্বর, ২০১৮ রাত ১:৪৬

আশাবাদী অধম বলেছেন: বিষয়টি ক্লিয়ার করার জন্য ধন্যবাদ। ভালো থাকুন। হ্যাপী ব্লগিং।

০৩ রা সেপ্টেম্বর, ২০১৮ রাত ২:২৯

কলাবাগান১ বলেছেন: হ্যাপী ব্লগিং

১৯| ০৩ রা সেপ্টেম্বর, ২০১৮ রাত ২:১৭

নতুন বলেছেন: আরেকটা দেখলাম আজ ভোটিং মেসিনে হাতের ছাপ ব্যবহার করবে সরকার সেটা নিয়ে লিখেছে।

০৩ রা সেপ্টেম্বর, ২০১৮ রাত ২:২১

কলাবাগান১ বলেছেন: কাল দেখলাম প্রচার করছে যে ভারতে নাকি লক্ষ লক্ষ ভোটিং মেশিন পরিত্যক্ত...আর এগুলি কিনার জন্যই নাকি সরকার ইভিএম কিনতে চাইছেন...প্রমান ছাড়া কথা বলাই উনার স্টাইল

২০| ০৩ রা সেপ্টেম্বর, ২০১৮ রাত ৩:৩২

হাসান কালবৈশাখী বলেছেন:

ঢাবিয়ানের কথা বলছেন?
বেশিরভাগ সময়ে তার মন্তব্যে জবাব দেয়ার প্রয়জন বোধ করিনি।

উনি রাজাকার বান্ধব সমস্যা না , ব্লগে তো অজস্র রাজাকার সাবক। কিন্তু উনি এককাঠি উপরে।
উনি খাটি পাকি সমর্থক রাজাকার।

তার রিসেন্ট পোষ্টে (পাকি বন্দনামুলক) বলে "দলকানারা আসবেন না"
করছিস পাকি বন্দনা এর ভেতর আবার দল-ফল কি?

কমেন্টে এক কানাডা প্রবাসি লিখেছে "৪৭ বচ্ছর ধরে বেড়ে ওঠা উলুবনে মুক্তা ছড়ালেন কেন ???"

কি ভয়ঙ্কর কথা!
নিজ দেশ বাংলাদেশকে উলুবন আর পাকিস্তান মুক্তা! কতটা হীনমন্যতা থাকলে এরকম বলতে পারে?
পাকির বাচ্চা ইমরান হল হিরামনি!

০৩ রা সেপ্টেম্বর, ২০১৮ সকাল ৭:০৩

কলাবাগান১ বলেছেন: মাঝে মাঝে আবার সুশীল ভাব ধরে...দুই পরিবার থেকে মুক্তি চায়..

২১| ০৩ রা সেপ্টেম্বর, ২০১৮ সকাল ৯:৩৮

এলিয়ানা সিম্পসন বলেছেন: হাহাহাহাহা।

২২| ০৩ রা সেপ্টেম্বর, ২০১৮ সকাল ৯:৪০

এলিয়ানা সিম্পসন বলেছেন: Here I am trying to learn radiology hahaha...

০৩ রা সেপ্টেম্বর, ২০১৮ রাত ৯:০৬

কলাবাগান১ বলেছেন: Hopefully you will not be able to see a whole cockroach in an X-ray

২৩| ০৩ রা সেপ্টেম্বর, ২০১৮ সকাল ৯:৪১

সাইন বোর্ড বলেছেন: তার মানে অাপনি বলতে চাচ্ছেন যে ঢাবিয়ান কোন গোষ্ঠীর পক্ষ হয়ে চামচামী করছে, খুব খারাপ কথা ! অাপনি তো অার সেটা করছেন না, নাকি করছেন ?

০৩ রা সেপ্টেম্বর, ২০১৮ রাত ৯:২৭

কলাবাগান১ বলেছেন: আমি ৭১ এর পক্ষে ...কিন্তু কোনদিন গুজব ছড়াই না...কোকো সিমেন্স থেকে কত টাকা ঘুষ খেয়েছে সেটা আমেরিকার আদালতে উত্থাপিত নথি র প্রমান যেটা গুগুল করলেই পাওয়া যাচ্ছে সেটা ইউজ করেই বলব। তারেক জিয়ার ব্যাপারে আমেরিকান এম্ব্যাসি এর টেলিপ্রিন্ট যেটা উইকিলিকস ফাস করেছে , সেটা ইউজ করেই বলব...কিন্তু গুজব ছড়াবো না

২৪| ০৩ রা সেপ্টেম্বর, ২০১৮ সকাল ৯:৪৫

রাজীব নুর বলেছেন: দয়া করে অনুরোধ সামু ব্লগটা পরিস্কার পরিচ্ছন্ন রাখুন।
এইখানে কেউ কোনো বদমাইশি করবেন না।
যারা রুচিশীল বগিং করতে পারেন না তারা ব্লগ ছেড়ে চলে যান।
ব্লগের সৌন্দর্য রক্ষা করুন। আল্লাহর দোহাই লাগে।

০৩ রা সেপ্টেম্বর, ২০১৮ রাত ৯:২৮

কলাবাগান১ বলেছেন: হুম

২৫| ০৩ রা সেপ্টেম্বর, ২০১৮ সকাল ১০:০০

নতুন নকিব বলেছেন:



গুজব কোনো অবস্থাতেই কাম্য নয়।

০৩ রা সেপ্টেম্বর, ২০১৮ রাত ৯:২৮

কলাবাগান১ বলেছেন: সঠিক

২৬| ০৩ রা সেপ্টেম্বর, ২০১৮ দুপুর ১২:৫১

রানার ব্লগ বলেছেন: মেরিলিন মোনের কে তো দেখতে পেলাম না এই জীবনে যাক এই উছিলায় অন্তত তার চেস্টের এক্সরে দেখে ফেললাম, একটু নজর ভালো হলে আর কিছু হয়ত দেখা যাবে। ধন্যবাদ ঢাবিয়ান !!!! B-) B-) B-) B-) B-) B-) B-) B-)

০৩ রা সেপ্টেম্বর, ২০১৮ রাত ৯:৩৫

কলাবাগান১ বলেছেন: keep your eyes to yourself.....teaching of religion

২৭| ০৩ রা সেপ্টেম্বর, ২০১৮ বিকাল ৪:০৬

জুনায়েদ বি রাহমান বলেছেন: তিনার লিখার প্রশংসা ঠিক ছিলো। আমাদের চিকিৎসা খাতে আরো উন্নয়ন প্রয়োজন।
@ব্লগার ঠাকুরমাহমুদ সেই পোস্টে ছবি নিয়ে লিংকসহ মন্তব্য করেছিলেন। পরে, ভুল বুঝতে পেরে সম্ভবত তিনি পোস্ট রিমুভ করেছিলেন।

@ব্লগার টাবিয়ানের ঘাড় একটু ত্যাড়া। সমালোচনা সরকারের পক্ষে গেলে তিনি নিতে পারেন না।

০৩ রা সেপ্টেম্বর, ২০১৮ রাত ৯:৩৪

কলাবাগান১ বলেছেন: সমালোচনা সরকারের পক্ষে গেলে তিনি নিতে পারেন না।

২৮| ০৩ রা সেপ্টেম্বর, ২০১৮ বিকাল ৪:৫৪

আরণ্যক রাখাল বলেছেন: সত্যি এই ছবি দিয়েছিল?
সামান্য সেন্স থাকলে কেউ এই ছবি বিশ্বাস করবে?

০৩ রা সেপ্টেম্বর, ২০১৮ রাত ৯:৩৩

কলাবাগান১ বলেছেন: দু:খ টা সেখানেই ...পোস্টের সাথে সাথে ৩টা প্লাস ফ্রম ওয়েল নোন ব্লগারস

২৯| ০৩ রা সেপ্টেম্বর, ২০১৮ রাত ৯:৫৫

নীলপরি বলেছেন: যাক , আমি সেই পোষ্ট দেখিনি । আরেকটু দায়িত্ব নিয়ে পোষ্ট দেওয়া উচিত ।

৩০| ০৪ ঠা সেপ্টেম্বর, ২০১৮ সন্ধ্যা ৬:৪৬

সুমন কর বলেছেন: হাহাহাহা............সব গুজব !!

কিছু পোস্ট এড়িয়ে চলাই ভালো......

৩১| ১৬ ই সেপ্টেম্বর, ২০১৮ রাত ১১:৫৪

আবু মুহাম্মদ বলেছেন: বিষয়টি ক্লিয়ার করার জন্য ধন্যবাদ।

১৮ ই সেপ্টেম্বর, ২০১৮ রাত ১:৫৮

কলাবাগান১ বলেছেন: ধন্যবাদ

৩২| ২৫ শে সেপ্টেম্বর, ২০১৮ রাত ১১:৩৮

ফারিহা হোসেন প্রভা বলেছেন: জীবনে চলার পথে এমন অনেক বাধাবিপত্তির সম্মুখীন হতে হয় স্যার। এগিয়ে যান। দোয়া ও ভালোবাসা রইলো।

০৬ ই মার্চ, ২০২০ সকাল ৯:২৪

কলাবাগান১ বলেছেন: ধন্যবাদ

আপনার মন্তব্য লিখুনঃ

মন্তব্য করতে লগ ইন করুন

আলোচিত ব্লগ


full version

©somewhere in net ltd.