নির্বাচিত পোস্ট | লগইন | রেজিস্ট্রেশন করুন | রিফ্রেস

আমি চিন্তা, চেতনা, মনন, বিশ্বাস ও প্রকাশে একজন মুসলমান।

ডেণ্টিস্ট সাইফ

আমি পেশায় ডেন্টিস্ট, হিজামা থেরাপিস্ট ও ইসলামের দায়ী।

ডেণ্টিস্ট সাইফ › বিস্তারিত পোস্টঃ

ডেন্টাল ইমপ্ল্যান্ট: Dental Implants in Bangladesh

৩০ শে ডিসেম্বর, ২০১৫ সন্ধ্যা ৬:৩৮

ইমপ্ল্যান্ট হচ্ছে আধুনিক চিকিত্সা বিজ্ঞানের যুগান্তকারী ‘মেডিকেল ডিভাইস’ যা আমাদের দেহের বিভিন্ন অঙ্গ প্রত্যঙ্গ হারিয়ে গেলে বা কোন রোগের কারণে ক্ষতিগ্রস্থ হলে তা পুরনের কাজে ব্যবহূত হয়। যেমন- শরীরের বিভিন্ন হাড় বা অস্থি সন্ধি স্থলে অর্থপেডিক ইমপ্ল্যান্ট, কানে ককলিয়ার ইমপ্ল্যান্ট, ব্রেস্ট ইমপ্ল্যান্ট, চোখে রেটিনা ইমপ্ল্যান্ট এবং দাঁত হারালে ডেন্টাল ইমপ্ল্যান্ট লাগানো হয়।

ডেন্টাল ইমপ্ল্যান্ট হলো এক ধরণের কৃত্রিম দাঁতের শেকড় যা টাইটেনিয়াম নামক অত্যান্ত ব্যয়বহুল মেটাল দ্বারা তৈরী এবং মানবদেহের জন্য নিরাপদ। বিভিন্ন আন্তর্জাতিক গবেষণা পরিসংখ্যানে তার বহু প্রমাণ বিদ্যমান রয়েছে। ১৯৫২ সালে জার্মানীর প্রখ্যাত গবেষক ব্রেনমার্ক প্রথম ইমপ্ল্যান্ট ব্যবহার শুরু করেন। পরবর্তীতে বিভিন্ন আন্তর্জাতিক পরিমন্ডলে এর ব্যাপক গবেষণা ও বাস্তবিক প্রয়োগ নিয়ে অনেক সম্মেলন অনুষ্ঠিত হয়। যার মধ্যে ১৯৭৮ সালে মার্কিন যুক্তরাষ্ট্রের হার্ভাড কনফারেন্স এবং ১৯৮২ সালে কানাডার টরেন্টো কনফারেন্স উল্লেখযোগ্য। যদিও মানুষের আসল দাঁতের বিকল্প কিছু হতে পারেনা। তথাপি একটি ডেন্টাল ইমপ্ল্যান্টের ব্যবহার গত সুবিধা অনেকটা আসল দাঁতের মতোই।
যেমন মানুষের চোয়ালের হাড়, মাংসপেশী, জয়েন্ট ইত্যাদি স্বাভাবিক থাকলে একটি স্থায়ী আসল দাঁতের চাপ ধারণ ক্ষমতা পিছনের দিকে ৬০-১৫০ কেজি, সেখানে একটি ইমপ্ল্যান্টের ক্ষেত্রে ৫০-১০০ কেজি।



আধুনিক ডেন্টাল ইমপ্ল্যান্ট সিস্টেম
ডেন্টাল ইমপ্ল্যান্ট সার্জারীর ইতিহাস অনেক পুরানো হলেও ষাটের দশকের মাঝামাঝি সময়ে আধুনিক ডেন্টাল ইমপ্ল্যান্ট শুরু হয়। ১৯৬৫ সালে জার্মানীতে ব্রেনমার্ক এ পদ্ধতি চালু করলে প্রথমদিকে তার কিছু সীমাবদ্ধতা লক্ষ্য করা যায় যা ১৯৮১ সাল অবধি বলবত্ থাকে এবং সাফল্যের হার ১৯৮১ সাল অবধি উপরের চোয়ালের ক্ষেত্রে ৮১% বলে বিভিন্ন গবেষণা ফলাফলে লক্ষ্য করা যায়। পরবর্তীতে ১৯৮২ সালে টরেন্টো কনফারেন্সে ১০ বছর, ১৫ বছরের দীর্ঘ মেয়াদী গবেষণা রিপোর্টে সাফল্যের হার প্রায় ১০০% দেখা গেলে উত্তর আমেরিকানদের মধ্যে ব্যাপক জনপ্রিয় চিকিত্সা পদ্ধতি হিসেবে স্বীকৃতি লাভ করে। শুরু হয় বিভিন্ন ইমপ্ল্যান্ট কোম্পানীর মধ্যে ব্যবসায়িক প্রতিযোগিতা। বিশ্ব বাজারে নোবেল বায়োকেয়ার, জিমার, এস্ট্রা, ডেন্সপ্লাই, অষ্টেম ইত্যাদি নানা কোম্পানী নতুন নতুন প্রযুক্তিগত সুবিধা উদ্ভাবনে সহায়ক ভূমিকা পালন করে। ফলে ইমপ্ল্যান্টোর ব্যবহার বিশ্বব্যাপী ক্রমেই বৃদ্ধি পাচ্ছে। এক আন্তর্জাতিক সমীক্ষায় দেখা যায় ২০০৯ সালে ইমপ্ল্যান্ট এর ব্যবহার ৩.২ বিলিয়ন ডলার হলেও ২০১০ সালে তা দাড়ায় ৩.৩ বিলিয়ন ডলারে।

কেন ইমপ্ল্যান্ট ব্যবহার করবেন
বর্তমান বিশ্বে চিকিত্সা বিজ্ঞানের প্রভূত উন্নতি এবং নতুন নতুন দিগন্ত উম্মোচিত হওয়ার ফলে মানুষের গড় আয়ু যেমন বৃদ্ধি পেয়েছে তেমনিভাবে বয়োজেষ্ঠ জনসংখ্যার হার বৃদ্ধি ঘটছে বিভিন্ন দেশে। একই সাথে মানুষের জীবন যাত্রার মান পরিবর্তন, বয়োবৃদ্ধির সাথে সাথে দাঁত হারানোর হারও বৃদ্ধি পাচ্ছে প্রতিনিয়ত। এছাড়া গতানুগতিক চলমান চিকিত্সা

পদ্ধতির কিছু সীমাবদ্ধতা লক্ষ্য করায় একটা দীর্ঘ মেয়াদী টেকসই প্রযুক্তির প্রয়োগ অপরিহার্য হয়ে পড়ে। যেমন- দাঁত হারানো শূন্যস্থান পূরণের জন্য পূর্বে যে অস্থায়ী ভাবে দাঁত কৃত্রিম উপায়ে বানানো হতো তার নানাবিধ অসুবিধা এবং স্থায়ীভাবে ব্রিজিং করার প্রয়োজন পার্শ্ববর্তী ভালো দাঁতকে চিকিত্সার প্রয়োজনে কাটা বা কোনভাবে ক্ষতিগ্রস্থ করা পরিহার করা যায় ‘ইমপ্ল্যান্ট’ বসানোর মাধ্যমে। আবার দাঁতের গোড়ায় দীর্ঘ মেয়াদী ইনফেকশন এর ফলে নড়বড়ে দাঁত, ভাঙ্গা দাঁতের শেকড় কিংবা রোগাক্রান্ত দাঁতের চিকিত্সা না করানোর ফলে শরীরের বিভিন্ন গুরুত্বপূর্ণ অঙ্গ-প্রত্যঙ্গ যেমন-মস্তিষ্ক, হার্ট বা হৃৎপিন্ড, ফুসফুস, কিডনি ইত্যাদি আক্রান্ত করে জীবনকে করতে পারে মারাত্মক ঝুঁকিপূর্ণ। কারণ বিভিন্ন আন্তর্জাতিক গবেষণা রিপোর্টে লক্ষ্য করা যায় যে, পেরিওডেন্টাল ডিজিজ বা দাঁতের মাঢ়ির ইনফেকশনের জন্য হার্টের মায়োকাডিয়াল ইনফারকশন কিংবা ব্রেইন স্ট্রোক হওয়ার যথেষ্ট সম্ভাবনা রয়েছে। এসব প্রেক্ষাপট বিবেচনা করে রোগাক্রান্ত ঝুঁকিপূর্ণ দাঁত ফেলে দিয়ে সে সব স্থানে স্থায়ীভাবে দাঁত লাগানোর জন্য ইমপ্ল্যান্ট বসানো যুক্তিসঙ্গত বলে বিশেষজ্ঞদের ধারণা।

ইমপ্ল্যান্টের সুবিধা সমূহ
১. কোন ভালো স্থায়ী দাঁত কাটার প্রয়োজন নেই।
২. অন্য যে কোন ভাবে দাঁত লাগানোর চেয়ে দীর্ঘস্থায়ী।
৩. ব্যবহারে স্বাভাবিক দাঁতের মতোই আরামদায়ক।
৪. রোগী মানসিকভাবে অনেক আস্থাশীল থাকে ব্যবহারে।
৫. কৃত্রিম দাঁতের মতো কোন অপ্রাকৃতিক অনুভূতি থাকে না।
৬. এ্যাসথেটিকভাবে বেশী গ্রহণযোগ্য
৭. কৃত্রিম দাঁতের তুলনায় বেশী মজবুত ও কামড়ের ধারণ ক্ষমতা বেশি।
৮. দাঁতের চোয়ালের হাড় ক্ষয় হওয়ার সম্ভাবনা নেই।

ইমপ্ল্যান্ট এর অসুবিধা

১. আমাদের আর্থ-সামাজিক প্রেক্ষাপটে ব্যয় বহুল।
২. চিকিত্সা সময় সাপেক্ষ।
৩. চিকিত্সকের জন্য প্রাথমিক পুঁজি ব্যয়বহুল।
৪. শরীরে অনিয়ন্ত্রিত কোন রোগ থাকলে বা বাড়ন্ত বয়সে (১৬-১৮ বছরের পূর্বে) ইমপ্ল্যান্ট সার্জারী করা যায় না।

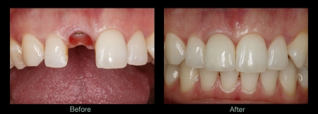
প্রাকৃতিক দাঁত হারালে কৃত্রিম দাঁত দিয়ে কখনোই পূর্ণ সন্তুষ্টি পাওয়া যায় না। তবে ইমপ্ল্যান্টের মাধ্যমে দাঁত সংযোজন, ব্যবহারকারীকে কৃত্রিম দাঁতের অনূভূতি বুঝতে দেয় না। উন্নত বিশ্বে এর ব্যবহার অনেক দিন শুরু হলেও আমাদের দেশে এ পদ্ধতি খুব বেশি দিনের নয়। হারানো দাঁতের নিচের হাড়ের পুরুত্ব ও হাড়ের মধ্যকার স্নায়ু ও সাইনাস পর্যবেক্ষণ, রোগীর বয়স ও শারীরিক অনান্য রোগ, মুখ পরিষ্কারে রোগীর সচেতনতা ইত্যাদি নানা বিষয় সন্তোষজনক থাকলে ইমপ্ল্যান্টের সিদ্ধান্ত নেয়া যেতে পারে।

আমরা জানি, দাঁতের একটি বড় অংশ মাড়ি ও হাড়ের মধ্যে ঢুকে থাকে, একে রুট বা শিকড় বলা হয়। ইমপ্ল্যান্টকে এই প্রাকৃতিক দাঁতের শিকড় হিসেবে ব্যবহার করা হয় যা সার্জারির মাধ্যমে হাড়ের মধ্যে স্থাপন করা হয়। বেশিরভাগ ক্ষেত্রে টাইটেনিয়াম নামক বিশেষ ধাতুর মাধ্যমে এই ইমপ্ল্যান্ট তৈরি হয় বলে সহজেই এটি হাড়ের সঙ্গে সুসম্পর্ক গড়ে তোলে। ইমপ্ল্যান্ট দৃঢ় হলে এর উপর স্থায়ীভাবে কৃত্রিম দাঁত সংযোজন করা হয়।

সফল চিকিৎসা শেষে দেখতে, অনুভূতিতে ও কাজে ইমপ্ল্যান্ট সর্বাধিক আরামদায়ক। দাঁত সংযোজনের অনান্য পদ্ধতিগুলোর সঙ্গে তুলনা করলে ইমপ্ল্যান্ট পদ্ধতি আরামের দিক দিয়ে এগিয়ে থাকবে। তবে সমস্যা দুই ক্ষেত্রেঃ
১. রোগীকে মুখ পরিষ্কারে ডাক্তারের পরামর্শমতো সচেতন থাকতে হবে এবং
২. টাইটেনিয়াম ধাতুর উচ্চমূল্যের জন্য এটি সর্বাধিক ব্যয়বহুল দাঁত সংযোজন পদ্ধতি।
তারপরও প্রাকৃতিক দাঁতের আরাম পেতে আমাদের দেশেও ইমপ্ল্যান্টের আগ্রহ বাড়ছে। এ বিষয়ে রোগীর সচেতনতা ও চিকিৎসকের পর্যাপ্ত জ্ঞানকে মুখ্য বিষয় হিসেবে বিবেচনা করা হয়।

পরিশেষে বলতে হয়, নানা প্রতিকুলতা ও সীমাবদ্ধতা সত্বেও ইমপ্ল্যান্ট সার্জারী একটি আধুনিক যুগান্তকারী চিকিত্সা পদ্ধতি যা স্থায়ীভাবে দাঁত লাগানোর জন্য এক নবদিগন্তের উম্মোচন করেছে। বিশ্বব্যাপী এ চিকিত্সা পদ্ধতি অত্যন্ত ব্যয়বহুল হলেও তুলনামূলক বিচারে বাংলাদেশে অনেক সস্তা। অথচ চিকিত্সার মান এবং প্রযুক্তি বিশ্বমানের এ কথা নির্ধিতায় বলা যায়।

Dr. Mohammad Saiful Alam
Consultant Cosmetic Dentist
Tooth Planet
House: 91/1
Road: 11A
Dhanmondi, Dhaka, Bangladesh.
(Opposite lane to Abacus restaurent)
Call:
+88.0119.3368478
+88.0197.3368478
+88.0161.2079727 (Viber, Whatsapp, IMO)

Email: [email protected]
Visit: http://www.toothplanet.org

Facebook page: http://www.facebook.com/toothplanet

মন্তব্য ০ টি রেটিং +০/-০

মন্তব্য (০) মন্তব্য লিখুন

আপনার মন্তব্য লিখুনঃ

মন্তব্য করতে লগ ইন করুন

আলোচিত ব্লগ


full version

©somewhere in net ltd.