| নির্বাচিত পোস্ট | লগইন | রেজিস্ট্রেশন করুন | রিফ্রেস |
রোকনুজ্জামান খান
আমি একজন মেডিক্যাল টেকনোলজিষ্ট। তিতাস শিশু ও জেনারেল হসপিটালে কর্মরত আছি। রোগীদের সেবা করতে ভালবাসি। রোগ নির্ণয়ে এক্স রে,সিটি স্ক্যান,এম আর আই করে থাকি । রেডিয়েশনে মারাত্তক ঝুকি নিয়ে রোগীদের সেবা করছি। সবাই আমার জন্য দোয়া করবেন, যাতে সারা জীবন এভাবেই রোগীদের সেবা করতে পারি।
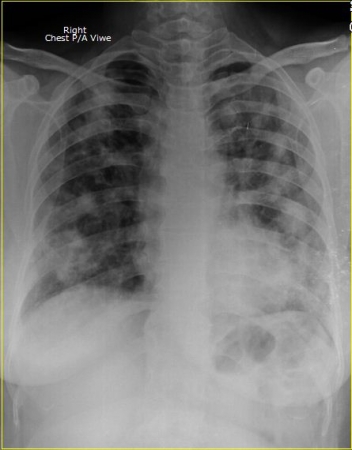
ইহা একটি বুকের এক্সরে। যাকে ডাক্তারী বাসায় বলা হয় Chest Posterior/Anterior Viwe.
রোগীর নামঃ সুগেরা বেগম। বয়সঃ ৫০ বছর।
রোগীটি নিজেও জানে না সে করোনা আক্রান্ত, সার্জারী ডাক্তার দেখাতে এসেছিল এবং গল ব্লাডার এর অপারেশন জন্য প্রস্তুতি নিচ্ছিলো। ডাক্তার তার স্বাস্থ্যের সকল অবস্থা দেখার জন্য কিছু রক্ত পরিক্ষার সাথে এই এক্সরে টি দিয়েছিল। পরীক্ষাটি করার পর আমি রীতিমতো অবাক হয়ে গেলাম। রিপোর্ট টি ডাঃ অরুন কুমার পাল কে দেখালাম। তিনি অতিদ্রুত সদর হাসপাতাল এ করোনা ইউনিটে পাঠিয়ে দিলেন।
আসুন সচেতন হই। এবং নিয়মিত স্বাস্থ্য পরিক্ষা করে দেহের ভেতরের সকল অংশের খোজ খবর রাখি। যে পরীক্ষাটি করালে আপনারা মোটামোটি ধারণা পাবেন, বা আপনার ফুসফুসে করোনা ভাইরাসের উপস্থিতি আছে কি নেই। সেটি হলোঃ CXR P/A Viwe. কারণ ভাইরাসটির প্রধান খাবার হচ্ছে ফুসফুস বা LUNGS ।আর এই পরিক্ষাটি জুড়েই রয়েছে ফুসফুসের অবস্থান।
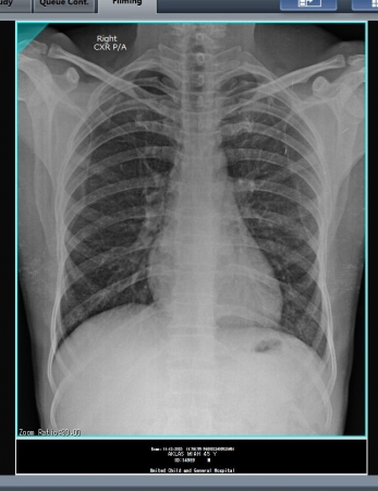
আপনাদের বোঝার সুবিধার্থে আক্রান্ত রোগীর বুক ও সাধারণ রোগীর বুকের দুইটি এক্সরের ছবি নিচে দেওয়া হলোঃ
করোনা আক্রান্ত রোগীর ফুসফুস বা LUNGS।
সাধারণ রোগীর ফুসফুস বা LUNGS ।
কারোভিন্ন্য মত থাকলে মতামত দিন।
@ধন্যবাদ
১০ ই ডিসেম্বর, ২০২০ রাত ১১:১৭
রোকনুজ্জামান খান বলেছেন: আমি নিজেই এক্স রে সিটি স্ক্যান করে থাকি। ব্লগাররা চাইলে আসতে পারেন একদম ফ্রি। আমারা ঠিকানাঃ ইউনাইটেড চাইল্ড এন্ড জেনারেল হাসপাতাল, পুরাতন হসপিটাল রোড, মোহাম্মদী প্লাজা,সবুজবাগ, হবিগঞ্জ।
২|
১০ ই ডিসেম্বর, ২০২০ রাত ১১:১৪
ঠাকুরমাহমুদ বলেছেন:
এক্সরে করাতে সরকারি হাসপাতালে ১০০ - ১৫০ টাকা লাগার কথা, আর বেসরকারি হাসপাতালে ৩৫০ - ৫০০ টাকা।
ধন্যবাদ অত্যন্ত প্রয়োজনীয় ও সচেতনতামূলক পোস্ট দিয়েছেন।
১০ ই ডিসেম্বর, ২০২০ রাত ১১:২৯
রোকনুজ্জামান খান বলেছেন: এখন নতুন করে দাম নির্ধারণ হয়েছে, সরকারিতে ১৫০-২০০ টাকা। আর বেসরকারিতে ৫৫০-৭৫০ টাকা।
অনেক অনেক ধন্যবাদ ও ভালবাসা রইল। সুস্বাস্থ্যে কাটান প্রতিটি সময়, আপানি এবং আপনার পরিবার সেই কামনা রইলো।
৩|
১০ ই ডিসেম্বর, ২০২০ রাত ১১:৩৯
মরুভূমির জলদস্যু বলেছেন: কারণ ভাইরাসটির প্রধান খাবার হচ্ছে ফুসফুস বা লিভার।
ফুসফুস হচ্ছে Lung
আর লিভার হচ্ছে যকৃৎ বা কলিজা
দুইটাই করোনার খাবার?
১০ ই ডিসেম্বর, ২০২০ রাত ১১:৫২
রোকনুজ্জামান খান বলেছেন: ঐ খানে একটু ভূল হয়েছিল সেটা সংশোধন করে নিয়েছি। তবে কলিজার চেয়ে ফুসফুস এর দিকেই এরা বেশী আক্রমনাত্বক।
আসুন সচেতন হই এবং লক্ষ্য রাখি আমাদের প্রিয় অরগান গুলোর প্রতি। ধন্যবাদ ভালোবাসা এবং কৃ্তজ্ঞতা রইল। এবং সুস্বাস্থ্যে কাটান প্রতিটি সময়, আপানি এবং আপনার পরিবার সেই কামনা রইলো।
৪|
১০ ই ডিসেম্বর, ২০২০ রাত ১১:৫৬
রাজীব নুর বলেছেন: আমি ঢাকা থেকে আপনার কাছে আসবো হবিগঞ্জ!!!!
১১ ই ডিসেম্বর, ২০২০ সকাল ১১:৩২
রোকনুজ্জামান খান বলেছেন: একটু কষ্ট হবে। তবুও চলে আসুন ভাইয়া। ভালবাসা অভিরাম। আপনার স পরিবারে আমন্ত্রণ রইলো? সেই সাথে আপনি এবং আপনার পরিবারের সু স্বাস্থ্য কামনা করছি।
৫|
১১ ই ডিসেম্বর, ২০২০ রাত ১:২২
জিকোব্লগ বলেছেন:
এক্স রে দিয়ে করোনা নির্ধারণ সম্ভব না। যদি
সম্ভব হতো তাহলে চায়না ইউরোপ আমেরিকার
ডাক্তাররা এটা নিয়ে রিপোর্ট প্রকাশ করতো।
১১ ই ডিসেম্বর, ২০২০ সকাল ১১:৪৫
রোকনুজ্জামান খান বলেছেন: যেহেতু প্রধান খাবার ফুসফুস বা Lung
তাই মোটামোটি ধারণা ও উপস্থিতি বুঝার জন্য এই এক্স রে টি অন্যতম।
আমার লেখাটি হয়তো আপনি ভালো করে বুঝেন নি তাই পুনারায় পড়ার অনুরোধ রইলো।
সেই সাথে,সুস্বাস্থ্যে কাটান প্রতিটি সময়, আপানি এবং আপনার পরিবার সেই কামনা রইলো।
৬|
১১ ই ডিসেম্বর, ২০২০ ভোর ৪:২৮
রিম সাবরিনা জাহান সরকার বলেছেন: রোগীর অনুমতি নিয়ে তার রিপোর্ট,নামধাম প্রকাশ করেছেন, নাকি এমনি এমনি? অনুমুতি না নিয়ে ব্যক্তিগত স্বাস্থ্য বিষয়ক তথ্য প্রচার করা মানহানির মামলা ঠুকে দেয়ার মত গর্হিত অপরাধ। তথ্যগুলো গোপন করেও লেখা যেত, নয় কি?
অহেতুক নাক গলানোর জন্যে দুঃখিত।
১১ ই ডিসেম্বর, ২০২০ সকাল ১১:৫৮
রোকনুজ্জামান খান বলেছেন: এই পোষ্টটির কারণে রোগী সামাজিক ভাবে দায়বদ্ধ হবে বলে আমার মনে হয় নি। এখানের সব তথ্য গুলোই আমার অফিসিয়াল। তবে আইনের সাথে একমত থাকা উচিত। পোষ্ট টির গ্রহন যোগ্যতার কারণে সরাসরি নাম সহ প্রকাশ করা হয়েছে। হেতুক নাক গলানোর জন্য আপনাকে আন্তরিক ধন্যবাদ। সেই সাথে, সুস্বাস্থ্যে কাটান প্রতিটি সময়, আপানি এবং আপনার পরিবার সেই কামনা রইলো।
৭|
১১ ই ডিসেম্বর, ২০২০ দুপুর ১২:৫১
শাহ আজিজ বলেছেন: সি টি স্ক্যানে আরও পরিচ্ছন্ন ছবি পাওয়া যায় । মার্চ মাসে উহানের রোগীদের স্ক্যান চিত্র হংকঙের একটি পত্রিকা ছাপত । পড়ে পুরো লকডাউন আর ইন্টারনেট বন্ধ হয়ে গেলে আমরা খবর পাওয়া থেকে বঞ্চিত হই । একটি ক্লোজ ছবিতে দেখাচ্ছিল গুরুতর সংক্রমিত এবং বেচে যাওয়া এক রোগীর লাংস । গ্লাস গলে গেলে যেমন দুমড়ে মুচড়ে যায় সেই রোগীর তাই হয়েছে । হংকঙ্গের ডাক্তার বলছিলেন এই ধরনের বেচে যাওয়া রোগী বাকি জীবন লাংসের বিবিধ ওষুধ খেয়ে বেচে থাকবেন । আমি খুজব সেই ক্লিপ সেভ করেছিলাম কিনা । এক্সরে নয় সিটি স্ক্যান বেশি উপযোগী , খরচ বেশি বলে তা করা হয় না ।
১১ ই ডিসেম্বর, ২০২০ দুপুর ১:২৪
রোকনুজ্জামান খান বলেছেন: আপনার কথার গ্রহনযোগ্যতা আছে এবং আমি আপনার সাথে একমত। সিটি স্ক্যান অফ চেষ্ট করালে আরো সুন্দর ও পরিচ্ছন্ন ভাবে আমরা দেখতে পারি। তবে আমাদের দেশের ডাক্তাররা কভিড পরীক্ষার কাছেই দায়বদ্ধ। এখনো অনেক জেলা শহর গুলোতে সিটি স্ক্যান অফ ব্রেন ছাড়া অন্য কোন সিটি করানো হয় না। এক্সরে আমাদের জন্য সহজলভ্য ও অল্পমূল্যের তাই এটিকে প্রাধান্য দেওয়া হয়েছে। আপনার কার্যকরী মন্তব্যের জন্য সাধুবাদ ও অন্তরিক ধন্যবাদ জানাচ্ছি। এবং সুস্বাস্থ্যে কাটান প্রতিটি সময়, আপানি এবং আপনার পরিবার সেই কামনা রইলো।
৮|
১১ ই ডিসেম্বর, ২০২০ দুপুর ১:০৮
শাহ আজিজ বলেছেন:

১১ ই ডিসেম্বর, ২০২০ দুপুর ১:৩৩
রোকনুজ্জামান খান বলেছেন: @ধন্যবাদ
ছবি গুলো বা রিপোর্ট গুলোর সাথে বর্ণনা যোগ করলে পাঠক উপকৃত হতো।
৯|
১১ ই ডিসেম্বর, ২০২০ বিকাল ৩:০৮
রোকনুজ্জামান খান বলেছেন: 
Covid-19 stage 10-13days।
১০|
১১ ই ডিসেম্বর, ২০২০ সন্ধ্যা ৬:৪০
সাহাদাত উদরাজী বলেছেন: চমৎকার পোষ্ট।
১৩ ই ডিসেম্বর, ২০২০ সকাল ১১:৩৫
রোকনুজ্জামান খান বলেছেন: আন্তরিক ধন্যবাদ।
সুস্বাস্থ্যে কাটান প্রতিটি সময়, আপানি এবং আপনার পরিবার সেই কামনা রইলো।
১১|
২২ শে ডিসেম্বর, ২০২০ সকাল ৯:২২
রোকসানা লেইস বলেছেন: শরীরের ভিতর কত রকম কি যে বাসা বাঁধে ।
শরীর নিয়ে বসবাস শরীরকে কতটা চিনি আমরা
০১ লা এপ্রিল, ২০২১ ভোর ৪:০৫
রোকনুজ্জামান খান বলেছেন: স্ব্যাস্থ্য দুই প্রকারঃ
যেমনঃ
১. শারীরিক
২. মানসিক
দেহ বা শরীর কে ভালো রাখা প্রয়োজন।
কারণঃ
শারীরিক স্ব্যাস্থ্য ভালো না থাকলে মানসিক স্ব্যাস্থ্যও ভালো লগবে না।
©somewhere in net ltd.
১|
১০ ই ডিসেম্বর, ২০২০ রাত ১১:০৮
চাঁদগাজী বলেছেন:
শ'তে কয়জন ব্লগার চাইলেই কালকে একটা এক্স-রে করাতে পারবেন?