| নির্বাচিত পোস্ট | লগইন | রেজিস্ট্রেশন করুন | রিফ্রেস | 
রোকনুজ্জামান খান
	আমি একজন মেডিক্যাল টেকনোলজিষ্ট। তিতাস শিশু ও জেনারেল হসপিটালে কর্মরত আছি। রোগীদের সেবা করতে ভালবাসি। রোগ নির্ণয়ে এক্স রে,সিটি স্ক্যান,এম আর আই করে থাকি । রেডিয়েশনে মারাত্তক ঝুকি নিয়ে রোগীদের সেবা করছি। সবাই আমার জন্য দোয়া করবেন, যাতে সারা জীবন এভাবেই রোগীদের সেবা করতে পারি।

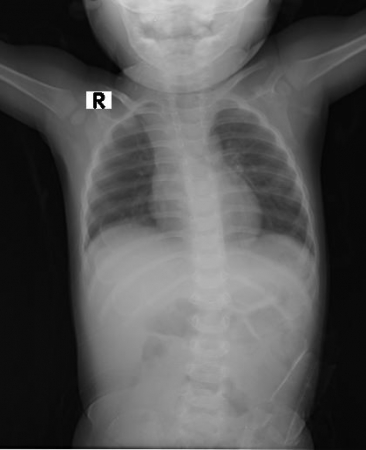
এটি শিশু রিহানের বুকের X RAY শিশুটি গুরুতর আহত অব্স্থায় আমাদের হসপিটালে ভর্তি । সবাই দোয়া করবেন শিশুটির জন্য ।
২| 
০৭ ই এপ্রিল, ২০১৮  সন্ধ্যা  ৭:৩৪
রোকনুজ্জামান খান বলেছেন: শুভ কামনা রইলো ।
৩| 
১১ ই এপ্রিল, ২০১৮  বিকাল ৩:৫৬
মোঃ মাইদুল সরকার বলেছেন: রিহান ভাল হোক। আপনিও ভাল থাকুন।
©somewhere in net ltd.
১|
০৭ ই এপ্রিল, ২০১৮  সন্ধ্যা  ৭:২১
নীলসায়র বলেছেন: আপনার জন্য দোয়া দিলাম।