| নির্বাচিত পোস্ট | লগইন | রেজিস্ট্রেশন করুন | রিফ্রেস | 
 
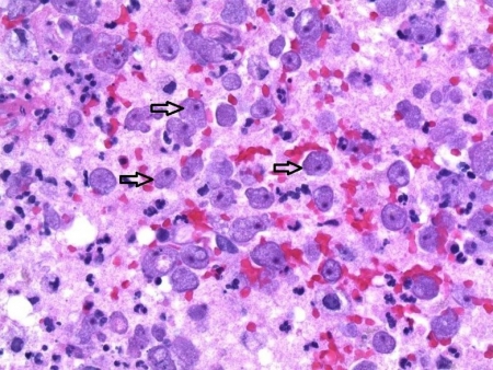
উপরের ছবিতে দেখা যাচ্ছে এককোষী প্রানী এ্যামিবার প্রজাতীর Naegleria fowleri কে। এটা উষ্ণ পানিতে বিশেষ করে পুকুর , লেক, নদী, বাড়ীর পানির ট্যাংক, ট্যাপের পানি (যদি ক্লোরিন কম বা না থাকে), সুইমিং পুল (ক্লোরিন কম বা না থাকলে) ইত্যাদি যায়গায় পাওয়া যায়। বাচ্চারা যখন পানিতে খেলা করে বিশেষ করে গরমের সময় , অনেকেই পুকুরের পানি খেয়ে ফেলে ....সাথে সাথে এই এ্যামিবাও গিলে ফেলে...কিন্তু খেয়ে ফেললে কোন সমস্যা না কেননা এরা আমাদের পাকতন্ত্রে বাচতে পারে না কিন্তু এরা যদি কোন ভাবে কারো ব্রেইনে আসতে পারে, তাহলে ই মৃত্যুদন্ড.....এরা কারো ব্রেইনে ঢুকার পর, রোগি বাচার কোন রেকর্ড না বললেই চলে....এক থেকে দুই সপ্তাহের মধ্যে সে ব্রেইন খাওয়া শেষ করে..তাই এদের নাম ই হয়ে গেছে ব্রেইন ইটিং এ্যামিবা। এদের সংক্রমনে পড়ে বিশেষ করে ভাল ভাবে ক্লোরিন ট্রিটমেন্ট না করা সুইমিং পুলে সাতারের পর, সাইনাস দুর করার জন্য কেতলির মত একটা পাত্র (নেটি) থেকে লবন পানি নাকে ঢুকিয়ে ক্লিন করার সময় প্রায় এর দ্বারা আক্রান্ত হয়ে উন্নত বিশ্বে অনেক রোগী মারা যাচ্ছেন.. লবন কে সবসময় বয়েল করা অথবা ফিল্টারড পানিতে ব্যবহার করার জন্য বিদেশে যারা নেটি ইউজ করেন, তাদের মাঝে সচেনতা বাড়াতে সরকার বিশেষ কার্যক্রম নিয়ে থাকে।
 
 
গত কয়েক বছর ধরে প্রায় প্রতি বছরেই ১৫-২০ জন মানুষ মারা যাচ্ছেন পাকিস্হানে এই এ্যামিবা দ্বারা...আগেও হয়ত মারা যেত, কিন্তু এখন ডায়াগনসিস করা যায় বলে ধরা পড়ছে...আর এর বিরাট একটা অংশে এই এ্যামিবা ব্রেইনে ঢুকছে অজু করার সময় নাকে পানি নিয়ে বেশী জোরে ভিতরে টানার জন্য। পাকিস্হানে এটা নিয়ে সচেনতা বাড়াতে সরকার ইমাম/চিকিৎসক এদেরকে ট্রেনিং দিচ্ছেন। বিশেষ করে মসজিদের পানিতে ক্লোরিন ট্যাবলেট ব্যবহার করার জন্য ইমামদের প্রশিক্ষন দেওয়া জরুরী...বাংলাদেশেও হয়ত অনেকে মারা যাচ্ছেন কিন্তু  এটা কে ডায়াগনসিস করার জন্য যে যন্ত্রপাতী ও এক্সপার্টিজ দরকার সেটা বোধহয় নাই। আর এটার বিরূদ্ধে কোন ঔষুধ ও নাই। সিম্পটম হল মাথা ব্যাথা, জ্বর, nausea (কমন সিম্পটম ঠান্ডা লাগার মত), তাই অনেকেই বুঝতে পারেন না। একবার সিম্পটম আরম্ভ হলে দুই সপ্তাহের মাঝেই অবধারিত মৃত্যু।
Amoeba in Pakistan (Ablution)
 
০৯ ই ডিসেম্বর, ২০১৮  সকাল ১১:৪৪
কলাবাগান১ বলেছেন: ব্রেইনের মাঝে এ্যামিবা
 
২| 
০৯ ই ডিসেম্বর, ২০১৮  সকাল ১১:৪৩
খসরু ওয়াহিদ বলেছেন: দারুন পোস্ট
 
০৯ ই ডিসেম্বর, ২০১৮  সকাল ১১:৪৭
৩| 
০৯ ই ডিসেম্বর, ২০১৮  দুপুর ১:২৫
আর্কিওপটেরিক্স বলেছেন: জানলাম
 
০৯ ই ডিসেম্বর, ২০১৮  রাত ১১:০৯
কলাবাগান১ বলেছেন: ওকে
৪| 
০৯ ই ডিসেম্বর, ২০১৮  দুপুর ২:২২
রাজীব নুর বলেছেন: এমিবা'র চেয়ে ছোট্র আর কিছু আছে?
 
০৯ ই ডিসেম্বর, ২০১৮  রাত ১১:০৯
কলাবাগান১ বলেছেন: ভাইরাস..
এর থেকে ছোট ও আছে
৫| 
০৯ ই ডিসেম্বর, ২০১৮  বিকাল ৩:১০
সনেট কবি বলেছেন: ভাল পোষ্ট।
 
০৯ ই ডিসেম্বর, ২০১৮  রাত ১১:১০
কলাবাগান১ বলেছেন: রাজীব নূর সারাদিন শুধু ছবি তুলে বেড়ায় ...
৬| 
০৯ ই ডিসেম্বর, ২০১৮  বিকাল ৩:৫৯
কাল্পনিক_ভালোবাসা বলেছেন: কি ভয়াবহ ব্যাপার!! আমাদের দেশে এমন হবার সম্ভবনা আছে নাকি? বিশেষ করে মাঝে মাঝে আমরা যারা ছুটিতে গেলে সুইমিং পুলে সাঁতার কাটি? হোটেলের লোকরা তো বলেই যে, পানিতে ক্লোরিন আছে!!
 
০৯ ই ডিসেম্বর, ২০১৮  রাত ১১:১১
কলাবাগান১ বলেছেন: পানিতে ডুবার সময় নাক বন্ধ করে রাখলেই তো হয়...আর ডুব না দিয়েও তো সাতার করা যায়
৭| 
০৯ ই ডিসেম্বর, ২০১৮  সন্ধ্যা  ৭:৪৯
জাহিদ  হাসান বলেছেন:  এগুলি ইহুদি-নাসারাদের ষড়যন্ত্র। মুসলমানরা যাতে অজু করে নামাজ পড়তে না পারে।  
এমন কমেন্ট কেউ এখনও করে নাই? অদ্ভূত।। দেশ থেকে কি হেফাজত-জামাত উঠেই গেল?
 
০৯ ই ডিসেম্বর, ২০১৮  রাত ১১:১২
কলাবাগান১ বলেছেন: 
  ![]()
৮| 
১০ ই ডিসেম্বর, ২০১৮  রাত ১:১৭
হাসান কালবৈশাখী বলেছেন: 
বাংলাদেশে রেজিষ্টেন্স হয়েগেছে মনে হয়।
ছোটকালে খালে পুকুরে সাতার সেখার সময় কত হাবুডুবু খাইছি, ময়লা পানি নাকে তোদুরের কথা ফুসফুসে পর্যন্ত চলে যেত।
মাঝে মাঝে জ্বর আসত, জ্বর নিয়েও অনেক ডুবাইছি ...
 
১০ ই ডিসেম্বর, ২০১৮  সকাল ৯:৪৮
কলাবাগান১ বলেছেন: এই এ্যামিবাতে দুনিয়ার কেউই রেজিস্ট্যান্ট না...হয়ত আপনার পানিতে এই এ্যামিবা ছিল না বা কখনই পানি আপনার নাক দিয়ে ব্রেইন পর্যন্ত্য যায় নাই....ফুসফুসে গেলে কোন প্রবলেম নাই.....
৯| 
১০ ই ডিসেম্বর, ২০১৮  সকাল ১০:০৩
স্বামী বিশুদ্ধানন্দ বলেছেন: খুবই মূল্যবান পোস্ট ! এই ভয়কর এমিবা থেকে রক্ষার জন্য জনসচেতনা প্রয়োজন |
 
১০ ই ডিসেম্বর, ২০১৮  সকাল ১০:০৭
কলাবাগান১ বলেছেন: সরকার এর স্বাস্হ্য মন্ত্রালয় বোধ হয় জানেই না এ ব্যাপার টা
১০| 
১০ ই ডিসেম্বর, ২০১৮  সকাল ১০:০৯
মোঃ মাইদুল সরকার বলেছেন: 
সচেতনমূলক এই পোস্টের জন্য ধন্যবাদ।
 
১০ ই ডিসেম্বর, ২০১৮  সকাল ১০:২৮
কলাবাগান১ বলেছেন: পড়ার জন্য ধন্যবাদ
১১| 
১০ ই ডিসেম্বর, ২০১৮  সকাল ১১:১০
পদ্মপুকুর বলেছেন: আপনাকে অসংখ্য ধন্যবাদ স্যার। খুবই গুরুত্বপূর্ণ একটি বিষয়ে সচেতনতামূলক এবং নির্মোহ আলোচনার জন্য।
@ জাহিদ হাসান,
কোনো বিষয়কে একজন মানুষ কোন পর্যায়ে নিয়ে আলোচনা করবেন, কিভাবে আলোচনা করবেন, সেটা নির্ভর করে তাঁর ব্যক্তিগত রুচিবোধ, জ্ঞান ও সৌজন্যতার উপরে। যদি এটা মনে রাখেন তো ভবিষ্যতে আপনার দ্বারা মানুষ উপকৃত হবেন নিঃসন্দেহে।
ভালো থাকবেন। শুভ ব্লগিং।
 
১০ ই ডিসেম্বর, ২০১৮  সকাল ১১:১৮
কলাবাগান১ বলেছেন: আপনাকেও ধন্যবাদ...।
১২| 
১০ ই ডিসেম্বর, ২০১৮  দুপুর ১২:০২
নূর আলম হিরণ বলেছেন: এই পোষ্টি ফেইসবুকে দিন, জাহিদ হাসানের কথাটি সত্য হবে ১০০% গ্যারেন্টি।
পোষ্টের জন্য ধন্যবাদ।
 
১১ ই ডিসেম্বর, ২০১৮  রাত ১২:৩৮
কলাবাগান১ বলেছেন: ফেইসবুক মানেই সময় নস্ট
১৩| 
১০ ই ডিসেম্বর, ২০১৮  বিকাল ৫:১৯
গরল বলেছেন: শুধু অ্যামিবা কেন, নাকে পানি নিলে আরও অনেক জীবাণু দ্বারা সরাসরি ফুসফুস ও পাকস্থলিতেও সংক্রমণ হতে পারে। খুবই গুরুত্বপূর্ণ পোষ্ট কিন্তু দেশের ৯৯% ভাগ মানুষের পক্ষে ক্লোরিনযুক্ত বা ১০০শত ভাগ নিরাপদ পানি দিয়ে অযু করা সম্ভব না। দূষিত পানি দিয়ে কুলি করলেও সালমোনেলার মত মারাত্মক জীবনঘাতি জীবাণূ পেটে যেয়ে মৃত্যু ঘটাতে পারে। দেশের ১০০শত ভাগ মানুষকে নিরাপদ পানির সরবরাহ করতে না পারলে এই ঝুঁকি থেকেই যাবে।
 
১১ ই ডিসেম্বর, ২০১৮  রাত ১২:৩৯
কলাবাগান১ বলেছেন: সেহেতু সাবধানতা অবলম্বন করা উচিত যাতে বেশী ভিতরে পানি প্রবেশ না করে
১৪| 
১১ ই ডিসেম্বর, ২০১৮  রাত ১২:৫৯
ফেইরি টেলার বলেছেন: ভয়োংকর !
 
১৫ ই ডিসেম্বর, ২০১৮  সকাল ৭:২৬
কলাবাগান১ বলেছেন: ফেইরি টেইল না কিন্তু
১৫| 
১৪ ই ডিসেম্বর, ২০১৮  সকাল ৯:৩৬
এলিয়ানা সিম্পসন বলেছেন: Yeah. Somebody in NJ died about two months ago.
 
১৫ ই ডিসেম্বর, ২০১৮  সকাল ৭:২৬
কলাবাগান১ বলেছেন: ইট ডাজ হ্যাপেন...
১৬| 
১৫ ই ডিসেম্বর, ২০১৮  সকাল ৯:০৯
নতুন নকিব বলেছেন: 
সচেতনতামূলক সুন্দর পোস্টে ধন্যবাদ। 
কেমন আছেন ভাই কলাবাগান১?
 
১৫ ই ডিসেম্বর, ২০১৮  সকাল ১০:৪৭
কলাবাগান১ বলেছেন: আওয়ামী লীগ ড:কামালের কাছে হারলে কোন দু:খ লাগত না কিন্তু ড: কামালের কাধে বন্দুক রেখে জামাতি-রাজাকার রা আবার জিতলে ...
১৭| 
২৩ শে ডিসেম্বর, ২০১৮  সন্ধ্যা  ৭:৫৪
চাঁদগাজী বলেছেন: 
ব্লগার রাবেয়া রাহিম নিউইয়র্ক এলাকার ব্লগারদের নিয়ে একদিন কোথায়ও সময় কাটাতে চান, আপনি ইচ্ছুক?
 
২৪ শে ডিসেম্বর, ২০১৮  সকাল ১০:০৪
কলাবাগান১ বলেছেন: আমার ল্যাবে বুয়াকে গ্রীন টি বানানোর রেসেপি শিখাতে ব্যস্ত থাকব তখন...
১৮| 
২৩ শে ডিসেম্বর, ২০১৮  সন্ধ্যা  ৭:৫৭
চাঁদগাজী বলেছেন: 
@এলিয়ানা সিম্পসন, 
জানুয়ারী মাসে আপনি কি নিউইয়র্কে থাকবেন?  ব্লগার রাবেয়া রাহিম নিউইয়র্ক এলাকার ব্লগারদের নিয়ে আড্ডা দেয়ার কথা ভাবছেন।
১৯| 
২৫ শে ডিসেম্বর, ২০১৮  সকাল ৭:০৫
চাঁদগাজী বলেছেন: 
আপনি নিজেই কি ল্যাবের বুয়া?
 
২৬ শে ডিসেম্বর, ২০১৮  সকাল ১০:৩৭
কলাবাগান১ বলেছেন: আপনার এই অপমানের জবাব একদিন আমার ল্যাবে আবিস্কৃত ঔষুধের জন্য ৪টা পেটেন্ট এপ্রুভাল এর পর ই দিব...
২০| 
২৫ শে ডিসেম্বর, ২০১৮  সকাল ৮:০৫
এলিয়ানা সিম্পসন বলেছেন: I am leaving NY on Jan 1st.
২১| 
২৬ শে ডিসেম্বর, ২০১৮  সকাল ৮:০৩
খায়রুল আহসান বলেছেন: একেবারে অজ্ঞাত ছিলাম এ ব্যাপারে। অনেক ধন্যবাদ, এমন একটি জনসচেতনতামূলক উপকারী পোস্টের জন্য।
 
২৬ শে ডিসেম্বর, ২০১৮  সকাল ১০:৪৩
কলাবাগান১ বলেছেন: এভাবেই বিজ্ঞান প্রসারিত হয়...আপনি আবার দশজন কে বলবেন...।
২২| 
২৬ শে ডিসেম্বর, ২০১৮  সকাল ১০:৫০
খায়রুল আহসান বলেছেন: আপনি আবার দশজন কে বলবেন... -  ইতোমধ্যে বলেছি কয়েকজনকে।  
 
রিজার্ভ ট্যাঙ্কে কিছু ব্লীচিং পাউডার ছড়িয়ে দিলে কি কিছুটা পরিত্রাণ পাওয়া যাবে? গেলে কী অনুপাতে?
 
২৭ শে ডিসেম্বর, ২০১৮  রাত ৩:০৯
কলাবাগান১ বলেছেন: যেহেতু পানি নানা কাজে ব্যবহার হয়, ব্লীচিং পাউডার না ছড়ানোই ভাল কিন্তু মাসে মাসে একবার ব্লীচিং পাউডার দিয়ে রিজার্ভ ট্যান্ক পরিস্কার করলে ভাল হয়। অজুর সময় নাকের বেশী ভিতরে পানি না নিয়ে করা উচিত
২৩| 
২৬ শে ডিসেম্বর, ২০১৮  বিকাল ৩:৫০
কালীদাস বলেছেন: খুবই গুরুত্বপূর্ণ পোস্ট, শেয়ারের জন্য থ্যাংকস। জিনিষটা জানতাম, তবে বাংলাদেশে কজ অফ ডেথ সবসময়ই আন্ডাররিপোর্টেড, ঠিক মত ডেথ সার্টিফিকেট কালেক্টও করে না কেউ।
বাইদ্যাওয়ে, ক্লোরিন বা ২২ নাম্বার কমেন্টে খায়রুল আহসান সাহেবের বলা ব্লিচিং পাউডারের সাইড এফেক্ট আছে বাংলাদেশের পার্সপেক্টে। শাওয়ার ক্যাপ সাধারণত কেউ ইউজ করে না বাংলাদেশে, পুলের স্ট্রিক্ট রুলস না থাকলে। চুল পড়ে যায় ক্লোরিন বা ব্লিচিং পাউডারের এফেক্টে।
 
২৯ শে ডিসেম্বর, ২০১৮  ভোর ৫:১০
কলাবাগান১ বলেছেন: ধন্যবাদ কালীদাস দা...পড়ানো কেমন যাচ্ছে??
২৪| 
২৯ শে ডিসেম্বর, ২০১৮  রাত ১:১২
কালীদাস বলেছেন: টেকনিক্যালি এখনও স্টাডি লিভেই আছি, দেশে ফেরার পর ফুলটাইম টিচিং শুরু হবে আবার 
 ইউরোপে আমি গ্রান্টহোল্ডার রিসার্চার হওয়ায় টিচিং এক্টিভিটিজ নেই আমার। তবে আমি ভাগ্যবান এদিক থেকে, কনফারেন্স/সেমিনার/ওয়ার্কশপের বাইরেও ইনভাইটেড লেকচার দেয়ার সুযোগ হয়েছে কয়েকবার, আগামী মাসেও আছে একটা। এই লেকচারগুলো লোয়েস্ট মাস্টার্স লেভেলের স্টুডেন্টদের জন্য দেয়া, কাজেই উপভোগ্যই ![]()
 
২৯ শে ডিসেম্বর, ২০১৮  ভোর ৫:১৩
কলাবাগান১ বলেছেন: ইনভাইটেড লেকচার দেওয়া চাট্টীখানি কথা না...। আমার কাছে ছাত্র/ছাত্রী পড়ানোর চেয়ে ইনভাইটেড লেকচার দেওয়া অনেক বেশী চ্যালেন্জিং মনে হয়..উপস্হিত প্রায় অনেকেই নিজেদের পান্ডিন্ত্য দেখাতে এমন সব প্রশ্ন করে.....
২৫| 
৩০ শে ডিসেম্বর, ২০১৮  সকাল ৭:০৭
এলিয়ানা সিম্পসন বলেছেন: I am applying for a research program at the NHLBI for summer. If I get it, you should meet me.
 
৩০ শে ডিসেম্বর, ২০১৮  সকাল ১০:৫২
কলাবাগান১ বলেছেন: Good luck.....
২৬| 
২৪ শে এপ্রিল, ২০১৯  রাত ১১:৪১
দীপংকর চক্রবর্ত্তী বলেছেন: পৃথিবীর সবচেয়ে প্রাচীন প্রাণী এত ভয়ঙ্কর হবে ভাবি নাই। মনে ভয় ঢুকায় দিলেন তো!!  ![]()
 
১৮ ই সেপ্টেম্বর, ২০১৯  রাত ২:২৬
কলাবাগান১ বলেছেন: আজকের প্রথম আলোতে এই নিয়ে সংবাদ দেখুন কিভাবে বাচ্চা মেয়েটা মারা গেল
Brain Eating amoeba
©somewhere in net ltd.
১|
০৯ ই ডিসেম্বর, ২০১৮  সকাল ১১:৩৯
বিজন রয় বলেছেন: ভাল। সচেতন মূলক পোস্ট।
++++